잇몸에 뭐가 났어요!
페이지 정보
작성자 최고관리자 작성일22-12-12 18:44 조회2,416회 댓글0건관련링크
본문
“잇몸에 뭐가 났어요… 원장님 암이면 어떻게 하죠?!”
”입에 뭐가 났어요.. 딱딱한게 만져지는데 문제가 있는걸까요?...”
하루에도 여러 번 이런 문의를 받고 내원해주시는 환자분들이 정말 걱정되는 말투로, 혹은 지나가는말로 툭 던지면서 검진을 실시해보는 경우가 많습니다. 검진을 할 때 대부분 마음을 졸이면서 긴장하시는 모습이 눈에 선명하죠. 막상 진단하고 나면 원래부터 있던 조직이거나 서서히 커진 골조직인 경우가 대부분입니다.
진단명은 torus ,골융기, 발달성 양성 외골증, 골융기
원인은 여러 가설들이 있겠지만. 유전적 감수성 및 환경적 요인(저작습관,교합력)을 생각해 볼 수 있는 부분인데요. 이게 참 특이한 점은 아시아인들에게서 쉽게 관찰이 가능하고 그중에서도 우리 한국사람들에게 많이 보여진다고 합니다.( Oral and Maxillofacial Medicine (Third Edition), 2013)
학생들 혹은 의사들이 보는 의학교과서에 한국에서 특별히 많이 볼 수 있다는 케이스가 나타나 있는데 이정도면 우리 한국 사람들의 유전적 환경적 영향을 따져 보는게 순서가 아닌지 생각이 되기도 하죠.
우리나라는 과거 단단한 생칡뿌리를 간식으로 먹거나 이전에는 구황식물로도 섭취해 왔었던 민족이죠. 칡의 단물 빠질 때까지 씹다 보면 턱이 얼얼해지는데요. (물론 지금은 이런 행동을 피하는 것이 좋습니다. 턱관절 장애의 원인이 될 수 있거든요 ^^) 실제로 진료를 하다보면 나이가 많은 고령의 환자분들의 턱구조가 젊은 환자분들과는 다르게 턱관절이 튼튼한 것을 확인할 수 있고 외골증 역시 현저히 많다는 것이 확인됩니다.
말레이시아3%, 일본58% 등 다양한 연구에서 요런 빈도가 나오는 것으로 봐서 한국에서의 외골증은 성인의 반이상이 있다고 생각하는 것도 무리는 아니라고 할 수 있습니다. 행여나 이런 외골증이 악성으로 변형되는 경우도 없기 때문에 만져지거나 확인되더라도 안심하실 수 있습니다. 하지만 이런 외골증 역시 치료가 필요한 순간이 있습니다. 언제일까요?
외골증으로 인해 검진을 받는 환자분들을 보면 놀래서 오는 경우를 제외하고도 여러 경미한 증상, 발음이나 저작 활동에 불편함을 겪고 오시는 경우가 있습니다. 특히 혀 안쪽에 혀가 있어야 할 공간에 하악골 골융기가 대부분의 공간을 차지하고 있는 경우 발음은 물론이고 일상생활의 불편함을 해결하고자 치료를 시작하는 경우도 많습니다. 이런 외골증이 커지게 되면 감싸고 있는 점막이 얇아지게 되어 찰과상이나 표재성 궤양으로 이어지게 될 수 있는데 이런 경우에도 치과에 내원하여 적절하게 제거해 주는 것이 좋죠. 불편감이 없는 경우는 치료를 하지 않아도 되지만 불편함이 느껴진다면 고민 없이 제거해 주는 것이 편합니다.
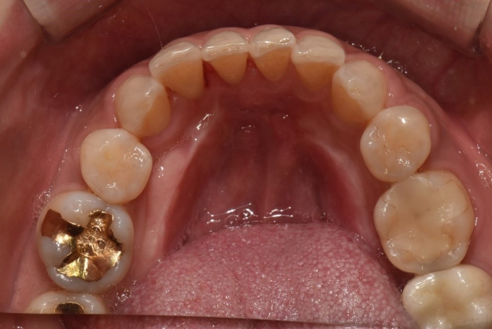
치료가 필요한 예시로 몇 달전에 성남에서 오신 여성 환자분입니다. (case.1)
![]()
입안에 가득한
골융기로 발음은 물론 저작력에도 문제가 나타납니다. 또한 입안에 상처가 빈번하게 생기게 되어 제거를
위해 저희 서울보스톤치과를 찾아주셨는데요. 몇 개의 대학병원에서 상담을 했지만 제거수술을 해주지 않았고
이곳 저곳 알아보다 상담을 받아보게 된 케이스입니다.
좌우측 골융기를 총 2회에 걸쳐 제거했는데 한 번에 모두 제거하기에는 환자에게 부담이 될 수 있기 때문에 이렇게 차례대로 제거하는 과정을 가지게 됩니다.
[아래 사진은 보기에 따라서는 혐오스러울 수 있으니 주의해주세요.]
골 치즐이란 기구를 사용하여 골융기 분리 제거술을 진행하는 과정입니다.
가장 첫 번째 사진과 비교해오면 그 차이점이 눈으로도 분명하게 확인이 되실 텐데요. 이렇듯 골융기를 제거해주면서 실제로 발음이 좋아지셨고 식사를 할 때에도 골융기에 음식물로 인해 발생되는 상처가 예방되기 때문에 너무 편하게 식사를 하실 수 있게 되었습니다. 이런 골융기 제거는 난이도가 놓아 신중해야 하지만 이렇게 환자분들이 좋아하는 것을 보면 어렵게 제거한 보람이 있었다고 생각이 듭니다.
ㅡㅡㅡㅡㅡㅡㅡㅡㅡㅡㅡㅡㅡㅡㅡㅡㅡㅡㅡㅡㅡㅡㅡㅡㅡㅡㅡㅡㅡㅡㅡㅡㅡㅡㅡㅡㅡㅡㅡ
(Case2) 환자분은 음식물이 돌출된 뼈위로 쌓여 불편함이 지속되어 이를 해결하고자 내원하셨다고 하는데요. 사실 구강 건강에는 큰 문제가 없기 때문에 굳이 비용과 시간을 들여 제거하기 보다는 그대로 놔두시는게 좋으니 조금 더 신중하게 생각해보시라고 하며 권장드렸었지만 이후 환자분께서 생활이 너무 힘들다고 하여 제거를 진행한 케이스입니다.

앞서 사진과 마찬가지로 치료 중간 사진인데 치즐을 사용하여 골을 제거하는 것을 볼 수 있습니다.

치료 마무리된 사진을 보면 약간의 돌기가 남아있는게 보이지만 환자분이 느끼던 불편감은 거의 없어졌습니다.
이런 골융기 제거술 치료에 대해 결론을 내보자면 환자분도 치과의사도 모두 어려운 치료입니다. 치아의 뿌리나 혈관 등을 주의하면서 신중하게 진행해야 하죠. 수술을 하더라도 합병증의 우려가 없도록 안전하게 진행하는 것이 매우 중요합니다. 의외로 저는 이런 골융기 제거 치료를 많이 진행하게 되는 것 같습니다. 가급적 제거하지 않아도 불편하지 않다면 그대로 놔두시는 것이 좋겠지만 많이 불편하시다면 치료를 통해 제거해 주는 것이 좋은 경우도 많습니다.
댓글목록
등록된 댓글이 없습니다.