김연아의 명언, 그리고 나를 뛰어넘기 위해
페이지 정보
작성자 최고관리자 작성일22-11-15 18:18 조회1,840회 댓글0건관련링크
본문

하루하루 환자분들을 위해 진료를 이어가다 보면 나도 모르게 안 좋은 자세로
움직이지 않고 10분 ~20분 넘게 진료를 하는 경우가 있습니다.
이렇게 잘못된 자세를 고정하고 있다보면 전신의 근육이 굳어지게 되고 결국에는
혈압에 문제가 생겨 멍해지거나 가끔 두통이 오는 경우가 있습니다.
간혹 이런 증상이 계속되다가 뇌경색이 오는 건 아닐까 할 정도로 걱정이 됩니다.
내가 조금 힘들더라도 진료를 마무리하고 싶지만 ‘조금만 더.. 조금만 더..`
나도 모르게 몰입하면서 핸드피스 기계를 사용하는 경우가 많습니다.
공식블로그를 보면 항상 이런말을 찾아볼 수 있을 겁니다. 환자분들이 만족할 수 있는,
이런 진료결과에 안주하지 않는, 우리 보스톤치과 가족들은 물론 전국 각지에서
환자의 치아건강을 위해 고군분투하고 있는 치과 의사 동료들도 인정할 수 있는
그런 치료 결과를 마주하는 경우가 분명 있습니다.
마치.. 국민요정이자 우리나라의 자랑인 피겨여왕 김연아의 명언처럼
가장 힘든 그 한 순간을 넘어야 그 다음 문을 열 수 있는 자격이 주어지듯 말이죠.

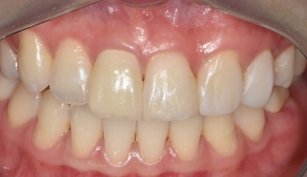
지금 위에 보이는 이 환자분은 변색치와 치아공간 및 치아의 모양 때문에
우리 서울보스톤치과에 내원하신 환자분입니다.’
위의 문제점을 개선하는 과정을 살펴보면 여러가지가 있겠지만
법랑질을 미량 삭제하는 과정을 통해 이런 증상을 개선할 수 있습니다.
하지만 이 환자분께서는 치아를 갈고 싶지 않다고 상담과정에서 의료진에게 말씀주셨고
의료진은 이런 환자가 원하는 과정을 고려하여
결국에는 올바른 진료 결과들을 만들어야 합니다.
그런 상황에서 저는 환자가 만족할 수 있는 결과 그리고 환자가 원하는,
치아를 삭제하고 싶지 않다는 요구를 고려한 결과를 위해
레진으로 모양을 맞추고 교합을 충분히 유지할 수 있도록 만들었습니다.
이런 과정은 결고 쉽지 않은 과정이라고 할 수 있죠.
ㅡㅡㅡㅡㅡㅡㅡㅡㅡㅡㅡㅡㅡㅡㅡㅡㅡㅡㅡㅡㅡㅡㅡㅡㅡㅡㅡㅡㅡㅡㅡㅡㅡㅡㅡㅡㅡㅡㅡㅡ
레진 치료를 진행하다보면 다듬는 과정인, 소위 폴리싱 과정을 마주할 수 있습니다.
내가 스스로와 타협하여 조금만 해도 치료가 마무리 될 수 있고, 많이 해도 마무리될 수 있는,
열심히 안 해도 마무리되는 환자분을 진료하다 보면 이런 갈등을 겪게 되는데
폴리싱 과정이 이런 상대적인 치료라고 할 수 있습니다.
이런 폴리싱 과정을 겪으면서 진료를 이어가다 보면
‘그래.. 이 정도면 됐지.. 난 최선을 다했어’ 하는 순간이 옵니다.
그런데 앞서 말씀드렸듯이 김연아의 명언처럼 정말 힘든, 견디기 힘든 그 순간을 넘기고
‘마지막 한 번…그뒤에 또 마지막 한 번..’ 이렇게 나 자신을 넘어가며 꼼꼼하게 하면
치과 동료들도 충분히 인정해줄 수 있는 치료 결과를 마주하게 될 수 있습니다.
그런데 스포츠처럼 금메달이 있는 것도 아니고
연금이 있는 것도 아니고
상금이 있는 것도 아닙니다.
그런데 왜 이렇게 열심히 할까? 고민하다보면
나 자신을 뛰어넘고 싶다는 욕심과
치료 결과를 검진할 때 환하게 웃으면서 찾아주시는 환자분들의 미소를 보았을 때
그래 내가 열심히 해서 저분이 웃을 수 있구나 하는 만족감이 아마 금메달인 것 같습니다.
댓글목록
등록된 댓글이 없습니다.